西国分寺駅徒歩2分 / オーラルビューティークリニック クラリス

歯の色・形・すきっ歯、気になっていませんか?
最短1日、削らない治療。

薄いセラミックを歯に貼るだけの治療。
歯を削らず、最短1日の通院で
自然で美しい白い歯に。
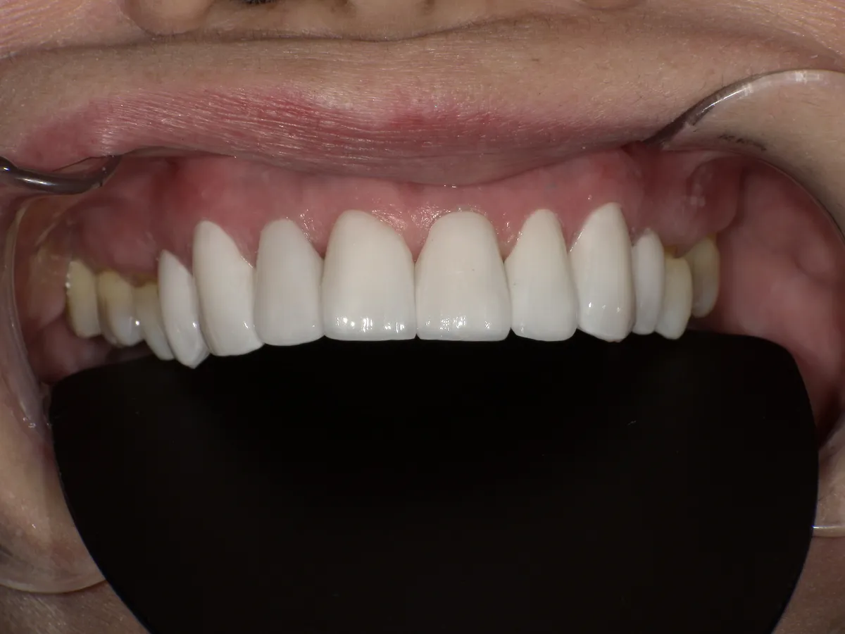
RESULTS
実際の変化をご覧ください
当院でルネットヴェールを受けた方の症例写真です。スライダーを動かして比較できます。












※治療内容:ルネットヴェール。治療期間:最短1日〜3ヶ月程度(症例により異なります)。費用:1本¥66,000〜(税込)。リスク・副作用:ルネットヴェールは元の歯よりも少し厚く大きくなります。歯を大きくすることはできますが、歯を小さくしたり出っ歯を治すことはできません。状況によって術後に、疼痛・咬合時痛・冷水痛などを生じる事があります。
PRICE
この品質で、この価格。
6本セットで、理想の口元を手に入れませんか。
ルネットヴェールプレミアム
笑顔で見える上前歯6本をまとめて美しく
6本セット
1本あたり ¥66,000
100%セラミック素材。天然歯に最も近い透明感と色調を再現し、変色しにくく長期間美しさが持続します。
4本
¥264,000
(税込)
6本
¥396,000
(税込)
8本
¥528,000
(税込)
※1本あたり ¥66,000(税込)。1DAYオプション: +¥16,500(税込)
ルネットヴェール
素材:セラミック60% + レジン40%
費用を抑えながら自然な見た目を実現。まずは手軽に始めたい方に。
6本セット
¥264,000
(税込 / 1本 ¥66,000)
月々¥6,000〜で始められます
プレミアム6本セットも医療ローンなら月々の負担を軽減。
まとまった費用が難しい方も安心です。
※審美治療は自由診療です。健康保険は適用されません。
まずは無料カウンセリングで相談するCONCERNS
歯の問題、我慢していませんか?


歯の色や黄ばみが気になって 人前で笑えない
ホワイトニングでは 限界を感じている
セラミック矯正は 「歯を大きく削る」のが怖い
すきっ歯や 歯の形が不揃い
何回も通院するのが 面倒で時間がない

そのお悩み、ルネットヴェールで解決できます
CHOICE
あなたはどちらが気になりますか?
すきっ歯が気になる
前歯の隙間は1~2本のベニアで自然にカバー。矯正なしで、その日のうちに隙間のない歯並びに。
目安 1~2本1本だけ変色している
神経が死んで黒ずんだ歯、ホワイトニングで白くならなかった1本も、ベニアなら周りの歯と自然に馴染みます。
目安 1本前歯の先端が欠けた・不揃い
欠けや摩耗で不揃いになった先端を、ベニアで整えて自然な形に。大きく削る必要はありません。
目安 1~3本まず試してみたい
いきなり6本は不安…という方も、まず気になる1~2本から始められます。仕上がりを見て追加もOK。
目安 1~2本何本必要かは、無料カウンセリングでご相談いただけます
無料カウンセリングを予約TREATMENT
「削らず、貼るだけ」の
新しい選択肢
ホワイトニングでは限界がある。でもセラミック矯正は歯を大きく削るのが怖い。そんな方のために生まれた治療法です。
ルネットヴェールとは
爪に付けるネイルチップのように、歯の表面に薄いセラミックのシェルを貼り付ける治療法です。 当院おすすめのプレミアムはオールセラミック素材で、天然歯に近い透明感を実現。歯の色・形・すきっ歯など前歯のお悩みをまとめて改善できます。
1元の歯
2表面を整える
3シェルを合わせる
4装着完了
歯を削らない
薄いセラミックを歯の表面に貼り付けるだけ。健康な歯をほとんど傷つけません。
最短1日で完了
1DAYプランなら型取りからセットまで1日で完了。忙しい方にも最適です。
自然な白さが長続き
セラミック素材だから変色しにくく、天然歯のような透明感がそのまま持続します。
痛みがほぼない
歯を削らないため麻酔も基本的に不要。治療中も治療後も快適です。

For You
「歯」を痛めたくないからこそ
ホワイトニングでは満足できなかったけれど、
セラミック矯正で大きく歯を削るのは怖い。
「もう少し白くしたい」
「すきっ歯や歯の形を自然に整えたい」
「でも歯をなるべく削りたくない」
そんなお悩みをお持ちの方にこそ、
ルネットヴェールは最適な選択肢です。
薄いセラミックを歯の表面に貼るだけ。
ホワイトニングと矯正のいいとこ取りで、
あなたの理想の笑顔を叶えます。

COMPARISON
ホワイトニングとセラミック矯正の間にある選択肢
ホワイトニング
ルネットヴェール
セラミック矯正

ホワイトニングの手軽さと、 セラミック矯正の仕上がりの美しさ。
両方のメリットを兼ね備えたのが、ルネットヴェールです。
COMMON CONCERNS
よくある不安
治療を検討する前に、多くの方が気になるポイントをまとめました。
痛くないの?
ルネットヴェールは歯の表面に薄いセラミックを貼り付ける治療です。歯を大きく削る必要がないため、麻酔も基本的に不要。治療中の痛みはほとんどなく、治療後にしみたり痛んだりすることもほぼありません。
どれくらい持つの?
プレミアム(オールセラミック)は素材自体が変色しにくく、適切なケアを続ければ長期間にわたり美しい状態を維持できます。定期的なメンテナンスで、さらに長くお使いいただけます。
日常生活で気をつけることは?
特別な食事制限はありません。普段通りの生活を送っていただけます。ただし、硬いものを前歯で噛み切る習慣や歯ぎしりがある方は、ナイトガード(マウスピース)の使用をおすすめする場合があります。
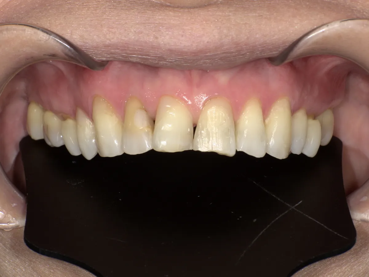
Gallery
実際の施術例


歯の黄ばみ・変色を改善


歯の色と形を自然に整える
※治療内容:ルネットヴェール。治療期間:2〜3週間(2回の通院)。費用:1本¥66,000〜(税込)。リスク・副作用:ルネットヴェールは元の歯よりも少し厚く大きくなります。歯を大きくすることはできますが、歯を小さくしたり出っ歯を治すことはできません。状況によって術後に、疼痛・咬合時痛・冷水痛などを生じる事があります。
1DAY PLAN
なぜ、たった1日で
完了できるのか
最新設備と院長の技術力で、カウンセリングから装着まで1日で完了できる体制を整えています。

最新3Dスキャナーで 精密データ取得
iTero口腔内スキャナーを導入。従来の型取りが不要になり、デジタルデータで精密かつスピーディに歯の情報を取得できます。

院長がカウンセリングから 装着まで一貫対応
担当が途中で変わることなく、院長が最初から最後まで一人で対応。工程間のロスがなく、効率的に治療を進められます。

厳選ラボとの 即日連携体制
高品質なセラミックを迅速に製作できる提携ラボとの連携体制を構築。クオリティを落とさずスピード対応を実現しています。
通常料金 + ¥16,500(税込)
通常は2回の通院が必要ですが、1DAYプランならその日のうちに装着まで完了。遠方の方や忙しい方に選ばれています。
※症例によっては1日での完了が難しい場合があります。詳しくはカウンセリング時にご相談ください。
Doctor
担当医紹介
Profile

引野 貴之
Hikino Takayuki
カウンセリングから治療、アフターケアまで一貫して担当いたします。 「前歯を自然に整えたい」「できるだけ歯を削りたくない」そんなご希望にも、 しっかり耳を傾け、患者様それぞれの歯の状態に合わせて最適な治療をご提案いたします。
Qualifications
インビザライン ブラックダイヤモンドプロバイダー(国内約10名)
JIADインプラント認証医
スマイルトゥルー マウスピース型矯正認定
ハーモニー舌側矯正 認定
WHY CLARISSE
多くの方に選ばれる理由
独自ブランド「ルネットヴェール」

当院オリジナルの「ルネットヴェール」。薄いセラミック素材で、歯をほとんど削らずに自然で美しい仕上がりを実現します。
院長がカウンセリングから治療まで一貫対応

引野院長が初回カウンセリングから施術・アフターケアまで一貫して担当。担当医が途中で変わる不安がありません。
圧倒的な症例実績で包括的に対応

歯並び・セラミック治療を含め豊富な症例経験。お口の状態に合わせて、ルネットヴェール以外の選択肢も含めた最適な提案が可能です。
他の患者様を気にしない完全個室の診療室

プライバシーに配慮した完全個室で、デリケートな歯の悩みも安心してご相談いただけます。
FACILITY
院内・設備紹介
清潔で快適な環境と、最新の医療設備で治療をお受けいただけます。

完全個室の診療室
他の患者様を気にせず、デリケートなお悩みも安心してご相談いただけます。

クリニック正面
西国分寺駅から徒歩2分。清潔感のある院内でお迎えします。

受付
明るく開放的な受付で、スタッフが笑顔でお迎えいたします。

口腔内スキャナー
従来の型取り不要。デジタルスキャンで快適・精密な治療設計を行います。

ホワイトニングルーム
リラックスできる個室空間で、ホワイトニングやセラミック治療を行います。
FLOW
治療の流れ
初回のカウンセリングから治療完了まで、安心の6ステップ。

無料カウンセリング
お口のお悩みやご希望をお伺いします。ルネットヴェールの特徴や治療方法について分かりやすくご説明いたします。

お口の検査と診断
虫歯や歯周病の有無、歯並び、噛み合わせなどをチェックし、ルネットヴェール治療が適しているかを診断します。

治療計画のご説明
検査結果をもとに、使用する素材の種類、治療期間、費用について詳しくご説明します。ご納得いただいたうえで治療をスタートします。

クリーニング・表面処置
ベニアがしっかりと接着できる状態に整えます。虫歯や歯周病がある場合は、先に治療を行います。

セラミック装着・最終調整
完成したルネットヴェールを取り付けます。色味や形、噛み合わせを確認しながら丁寧に調整し、特殊な接着剤で固定します。

定期メンテナンス
3〜6ヶ月に1度を目安に、クリーニングや噛み合わせのチェックを受けていただくことで、長く美しさを保てます。
FAQ
よくある質問
ルネットヴェールの場合、歯の表面に接着するだけなので、基本的に痛みはありません。歯を少し削る場合でもエナメル質の範囲内のため、痛みを感じにくい治療です。
特殊な接着剤で歯と一体化させるため、通常の使用で剥がれることは非常にまれです。ただし、強い力で噛んだり歯ぎしりの癖がある方は注意が必要です。
はい、すきっ歯の改善はルネットヴェールが得意とする治療のひとつです。歯と歯の隙間を自然にカバーし、美しい歯並びに整えることができます。
2種類ご用意しています。おすすめの「プレミアム」は100%オールセラミック素材で、天然歯に最も近い透明感と色調を再現し、変色しにくいのが特徴です。「通常プラン」はセラミック60%・レジン40%のハイブリッド素材で、お手頃な価格で始められます。当院ではより自然で長持ちするプレミアムをおすすめしています。
ホワイトニングは色の改善のみで持続期間が短いのに対し、ルネットヴェールは色と形の両方を長期的に改善できます。セラミック矯正は歯を大きく削る必要がありますが、ルネットヴェールはほぼ削らずに済みます。
適切なケアとメンテナンスを行えば、長期間にわたって美しさを保つことができます。3〜6ヶ月に一度の定期検診をおすすめしています。
Consultation Hour
診療時間
※土日は通常の診療時間と異なります。
Access
アクセス
東京都国分寺市泉町
JR中央線 西国分寺駅 徒歩2分
COUNSELING
カウンセリングの流れ
Webから予約
24時間いつでもWebから予約可能。ご希望の日時を選ぶだけで完了します。所要時間は約1分です。
ご来院・カウンセリング
院長がお悩みやご希望を丁寧にお伺いします。口腔内の状態を確認し、治療の選択肢・費用・期間をご説明します。
ご自宅でじっくり検討
当日に治療を決める必要はありません。説明内容をお持ち帰りいただき、ご納得のうえでお申し込みください。
相談のみでもOK・無理な勧誘は一切ありません
CONTACT
あなたの理想の口元に近づくために、
医師が最適な治療方法を
一緒に考えます。
ルネットヴェールが適しているかどうかも含め、 歯の状態やご要望を丁寧に伺いながらご提案します。 まずはお気軽にご相談ください。




















